Justin takes pride in his appearance, and it shows! While looking and staying fit has its own innate benefits, making the right impression is even more important because he finds himself in front of an audience of hundreds each and every day—he’s a teacher!
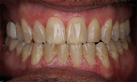
The only thing that kept Justin from feeling completely confident both in and out of the classroom was his discolored teeth. They weren’t particularly bad, but he felt they stood out given the rest of his polished presentation. Plus, he wanted to remove a possible distraction for his students.
Rather than spending a lot of time (and money) using store-bought treatments with watered-down gels, Justin decided to see Dr. Ariel about professional whitening. He had a chance to explain his goals, was presented with multiple options, and ultimately left with the bright, natural-looking result he wanted.
He says his experience couldn’t have been more straightforward, and he now regularly receives compliments from both his students and colleagues about how beautiful his smile is!
Justin’s case is a perfect example of how making a relatively small change can have a big effect, both when it comes to aesthetics and how someone feels about themselves. Also, while his treatment cost more than a single kit he could have bought at the store, he was able to get everything he needed with a single service, plus he didn’t have to endure sensitivity afterward.
What most people don’t realize is that while an off-the-shelf whitening method might only cost anywhere from $20-$80, the bleaching gels are typically about 1/20th as strong as what Dr. Ariel uses! That means patients often have to go through several rounds of treatment before getting a result that STILL isn’t as dramatic compared to working with a professional. Plus, with Dr. Ariel, patients don’t have to worry about accidentally harming their gums and enamel either. When it comes to your time, money, and desired outcome, working with a cosmetic dentist on Long Island offers the best approach when it comes to your smile and wallet.
